マンソン孤虫症の1例
一般向けではありませんのでご了解ください。
総合病院一心病院 形成外科
○岡本年弘
はじめに
マンソン孤虫症は、イヌ、ネコなどを終宿主とするマンソン裂頭条虫の幼虫であるプレロセルコイドが人体に寄生して起こる疾患である。本邦において既に多数の報告がなされているが、形成外科領域での報告は珍しいため、本症の1例を報告する。
症例
患者:64歳、女性
主訴:左胸部皮下腫瘤
既往歴・家族歴:特記するべきことなし
生活歴:患者は都内在住であり、爬虫類、両生類、鳥類などの生肉の摂取は一切していない。1974年9月〜1978年12月までブラジル・イグアスに居住していた。その際に現地語で「ビチョ」といわれる寄生虫に感染した既往があり、その除去をしたとのこと。
現病歴:約2か月前より左胸部皮下の硬結に気づき、当院を受診した。
来院時所見:左胸部で鎖骨のやや下方の皮下に15mm×4mmの大きさの索状の皮下腫瘤を認める。周囲の皮膚面よりやや隆起し、発赤を伴っていた。自発痛、圧痛、掻痒感などの自覚症状はない。

臨床検査成績:血算、生化学、尿所見に特別な異常は見られない。免疫血清学的検査は行っていない。
治療経過:1997年7月26日、局所麻酔下に周囲の組織を少し付けて腫瘤を一塊として摘出した。
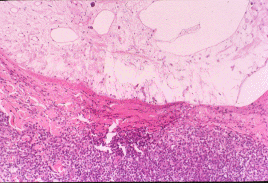
病理組織所見:HE染色では、真皮上層に虫体があって、周囲にリンパ球、形質細胞、好酸球を主体とする細胞浸潤を認める。 虫体は、最外層に角皮、その下層に角皮下細胞からなる虫体壁、およびその虫体内部に多数の管腔構造と筋線維束を認めた。
Kossa染色では、黒褐色に染色された球状の石灰小体が認められた。石灰小体は、条虫類に特有のものである。国立公衆衛生院の荒木国興部長に当該標本の鑑定を依頼し、マンソン裂頭条虫のプレロセルコイドと同定していただいた。

経過:虫体摘出後、3年を経過するが腫瘤の再発は見られていない。
考察
マンソン孤虫症は、マンソン裂頭条虫の幼虫であるプレロセルコイド(plerocercoid)の寄生による起こる。孤虫とは、裂頭条虫科の幼虫が、終宿主以外の動物に寄生して成虫になり得ず、その成虫の同定が不明の場合に対して名付けられたものであるが、マンソン孤虫症の場合は、その母体がマンソン裂頭条虫であることが判明し、成虫の人体寄生例も我が国で報告されており、もはや孤虫症という病名は不適切である。しかし、本症の場合は、プレロセルコイドのまま人体に寄生して長く留まり特有の臨床像を有するため、習慣的にこの名称が広く用いられている。
本虫の終宿主は、イヌ、ネコ、キツネ、タヌキなどの大型の哺乳類で、それらの腸管内に寄生して糞便中に排出された虫卵が、淡水中でふ化し、コラシジウム(coracidium)となり、第1中間宿主であるケンミジンコに摂取され、その体内でプロセルコイド(procercoid)になる。プロセルコイドを有するケンミジンコを第2中間宿主である鳥類、魚類、両生類、爬虫類、および哺乳類に摂取され、腸管壁を穿通し、腹腔、胸腔内臓器を経て皮下脂肪織内に入り、プレロセルコイドとなる。ヒトに寄生した場合は、プレロセルコイドの状態で寄生することが多い。この第2中間宿主の肉を食して、腸管内に成虫を宿したものが終宿主である。
ヒトへの感染は、1)プロセルコイドを宿した第1中間宿主であるケンミジンコを井戸水、河川水などとともに飲用した場合、2)プレロセルコイド寄生のニワトリ、淡水魚の生食、ヘビやスッポンの生血を飲んだり、ウマ、イノシシの生肉を摂取した場合、3)その他に民間療法として、粘膜部や創傷部にカエル、ヘビなどの生皮、生肉を貼付することなども原因となるとされる。
この中で感染源が比較的特定しやすいのは、爬虫類や両生類などの生食によるものが多いとされるが、実際は感染源が不明な例が多いようである。自験例でも明らかな感染源は、特定できなかったが、マンソン孤虫症の長期の寄生報告例としては、16年間、14年間、7年間というものがあるため、ブラジル在住中に寄生虫に感染したことに何らかの関連がある可能性はある。
木川らの集計によれば、男女比は1.4:1で年齢は、40〜50歳代にかけて最も多いようである。臨床症状は、プレロセルコイドの感染部位により異なる。
最も多い皮膚寄生では、身体各部の移動性のある皮下腫瘤として現れる。多くは無痛性であるが、時に自発痛、圧痛を伴う場合がある。腫瘤の大きさは、その中に存在するプレロセルコイドの大きさと一致している。人体に感染後、早くて11日目、多くは1〜2月ないし、数ヶ月後にみられる。腫瘤の多くは単発で、大きさ、形状ともに変化する。しかし、自験例において患者が腫瘤に気づいてから以降は、移動性や形状の変化を認めていない。文献的にも腫瘤出現まで全身症状の変化に気づかないケースが多く、虫体摘出前にマンソン孤虫症と診断されることは稀である。その他の臓器では、呼吸器、尿路、眼部、脳への寄生も認められることもある。
血液学および血清学的検査では、白血球増多、赤沈亢進、好酸球増多、CRP陽性、IgE上昇などがあげられる。また、プレロセルコイドを抗原とした血清ELISA法が本症の補助診断として有用といわれている。
治療として特効的駆虫薬はなく、外科的に摘出するのが最も良い。完全摘出後の予後は良好とされる。
自然食ブーム、ペットブーム、グルメブーム、輸入食料品の増加、海外交流が盛んになったこと等が背景となり、最近日本では、寄生虫病が増加しつつあるといわれている。皮下腫瘤として気づかれるマンソン孤虫症は、皮膚・皮下腫瘍を日常的に扱う形成外科医も念頭に置くべき疾患の一つと考え報告した。
結語
最近、増加傾向のある寄生虫疾患の中で皮下腫瘤として気づかれることの多い、マンソン孤虫症の1例を報告した。
|