1.gif 2.gif 3.gif 4.gif 5.gif 6.gif
 今月の症例   資料室   ニュース   メールサービス   憩いの部屋   歯科リンク 





ライブラリー :アルファベット順です 写真をクリックして下さい
accimg0004.jpg
口腔底腺様嚢胞癌
acc.jpg
73.86 Kb 
actinomycosisimg0028.jpg
放線菌症
actinomycosis.jpg
41.13 Kb 
aphtha2img0099.jpg
口蓋大アフタ
aphtha.jpg
53.28 Kb 

舌強直症
ankyloglossia
361.94 Kb
保谷市三浦先生撮影
aphthaimg0061.jpg
頬粘膜大アフタ
aphtha.jpg
56.86 Kb
candidasisimg0003.jpg
萎縮性カンジダ症candidiasis.jpg
61.55 Kb 
candidasisimg0006.jpg
肥厚性カンジダ症candidasis.jpg
49.96 Kb 
candidasisimg0100.jpg
舌苔・カンジダ症
coating tongue&candidasis.jpg
83.84 Kb 
candidiasis2img0031.jpg
偽膜性カンジダ症candidiasis.jpg
153.50 Kb 
candidiasisimg0002.jpg
偽膜性カンジダ症candidiasis.jpg
142.90 Kb 
candidiasisimg0029.jpg
偽膜性カンジダ症candidiasis.jpg
62.53 Kb 
candidiasisimg0032.jpg
カンジダ症
candidiasis
candidiasisimg0051.jpg
カンジダ症
candidiasisjpg
62.49 Kb 
candidiasisimg0063.jpg
溝舌・カンジダ症candidiasis.jpg
69.17 Kb 
candidiasisimg0098.jpg
萎縮性カンジダ症candidiasis.jpg
26.27 Kb 
epulisimg0057.jpg
エプーリス
epulis.jpg
68.64 Kb 
erythematodesimg0033.jpg
エリテマトーディスerythematodes.jpg
53.28 Kb 
erythroplakiaimg0023.jpg
紅斑症
erythroplakia.jpg
26.87 Kb 
geographicimg0004.jpg
地図状舌
geographic.jpg
63.61 Kb 
gingivalhyperplasiaimg0001.jpg
歯肉増殖症gingivalhyperplasia.jpg
62.42 Kb 
gingivalhyperplasiaimg0082.jpg
歯肉増殖症gingivalhyperplasia.jpg
80.23 Kb
gingivitsimg0024.jpg
歯肉炎
gingivitsjpg
29.18 Kb 
herpes2img0011.jpg
帯状疱疹
herpes.jpg
23.83 Kb 
herpes2img0018.jpg
帯状疱疹
herpes.jpg
60.33 Kb 
herpesimg0012.jpg
帯状疱疹
herpes.jpg
83.32 Kb 
herpesimg0015.jpg
帯状疱疹
herpes.jpg
57.56 Kb 
herpesimg0048.jpg
ヘルペス性歯肉口内炎herpes.jpg
54.59 Kb 
herpesimg0089.jpg
帯状疱疹
herpes.jpg
60.06 Kb 
herpesimg0092.jpg
帯状疱疹
herpes.jpg
56.24 Kb 
leukoplakia.jpg
白板症
leukoplakia.jpg
22.92 Kb 
lichen2img0063.jpg
扁平苔癬
lichen.jpg
82.05 Kb 
lichenbuccalimg0085.jpg
扁平苔癬lichenbuc.jpg
42.38 Kb 
lichenimg0055.jpg
扁平苔癬
lichen.jpg
23.66 Kb 
lichenimg0066.jpg
扁平苔癬
lichen.jpg
46.16 Kb 
lichenimg0068.jpg
扁平苔癬
lichen.jpg
17.80 Kb 
mononucleosisimg0094.jpg
伝染性単核球症mononucleosis.jpg
47.60 Kb 
mucoceleimg0019.jpg
粘液嚢胞
mucocele.jpg
64.93 Kb 
mucoceleimg0021.jpg
粘液嚢胞
mucocele.jpg
74.46 Kb 
mucoceleimg0059.jpg
乳頭腫症
papillomatosis
.jpg
48.73 Kb
oronasalfistulaimg0008.jpg
鼻口腔瘻
oronasalfistula.jpg
59.26 Kb 
papillomaimg0030.jpg
乳頭腫
papilloma.jpg
38.66 Kb 
pemphigoid1img0024.jpg
水疱性類天疱瘡
pemphigoid.jpg
74.09 Kb 
penphigoidimg0045.jpg
類天疱瘡
penphigoid.jpg
59.85 Kb 
pleomorphicimg0039.gif
多形性腺腫
pleomorphic.gif
269.38 Kb 

pleomorphicimg0044.jpg
56.54 Kb 
pmcimg0034.jpg
術後性上顎嚢胞
pmc.jpg
44.96 Kb 
ranulaimg0056.jpg
ガマ腫
ranula.jpg
61.70 Kb 
rigafedeimg0008.jpg
102.19 Kb 
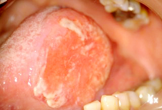
sccimg0006.jpg
51.18 Kb 


舌癌
scc.jpg
57.96 Kb

sialolithimg0010.jpg
唾石症
sialolith.jpg
68.80 Kb 
sialolithimg0040.jpg
27.98 Kb 
sialolithimg0072.jpg
唾石症
sialolith.jpg
81.38 Kb 
sialolithimg0076.jpg
唾石症
sialolith.jpg
69.42 Kb 
tonguetbimg0034.gif
舌潰瘍・結核?
tonguetb.gif
270.22 Kb

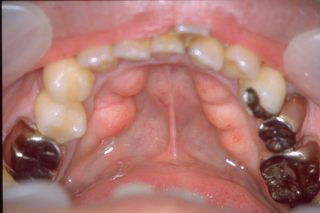
下顎隆起
torus.jpg
56.82 Kb 
ukkimg0006.jpg
歯肉癌
ukk.jpg
36.73 Kb 
ukkimg0031.jpg
歯肉癌
ukk.jpg
65.76 Kb 
 
 
 
 
1.gif 2.gif 3.gif 4.gif 5.gif 6.gif
 今月の症例   資料室   ニュース   メールサービス   憩いの部屋   歯科リンク