| ホーム > サイトマップ > 医療 > 医療関係論文 > デジタルX線画像診断 |
|
2004.12.15. 掲載
このページの最後へ |
目次
1.はじめに
2.デジタルX線装置の方式
3.デジタルX線装置の導入
4.FCRの使い方
5.デジタルX線画像のメリット
6.まとめ
私が初めてデジタルX線画像を見たのは2〜3年前のことで、新しくなった交野病院の放射線科を見学した時でした。ちょうどその頃から、松吉医院の松吉先生も胸部X線のデジタル画像を肺癌読影会に持って来られるようになりました。その素晴らしいデジタル画像を見て驚き、使用中の自動現像機の耐用年数が来れば、次からはデジタルX線に変えようと思ってきました。
自動現像機は開業以来3台使ってきて、10〜11年毎に取り替えてきました。最後の機種 CEPROS S(富士の自動現像機)を購入して今年で10年が過ぎたところです。ということは、そろそろ取り替えの時期になります。そこでこの機会にアナログからデジタルへ乗り換えることにしました。
機種は、世界で一番早くデジタルX線診断装置を開発した富士フィルムのFCRと決めていましたので迷うこともなく、11月最後の週末に工事を行い、週明けから稼動していますがすこぶる快調で、私はもちろんのこと職員もアシストする作業量が減り、満足しているようです。
1895年にレントゲン博士が発見したX線は、医療面で非常に重要な検査法として使われて来ましたが、銀塩フィルムに写したアナログ画像でした。1981年に富士フィルムが世界に先駆けて医療用デジタル画像形成装置を開発し、FCR(フジ・コンピューテッド・ラジオグラフィー)と名づけ、デジタルX線画像が誕生しました。それから20年余りが過ぎた昨今、医療界はアナログからデジタルX線画像診断に大きく転換しようとしています。
そのデジタルX線装置は、IP方式とCCD方式の二つの方式があります。
1)IP(imaging plate)方式
IP方式は、反復して再使用が可能なIPと呼ばれる特殊なプレートを用いてX線撮影を行い、その後でこの撮影済みプレートをスキャナーで読むことによってデジタル化してコンピュータに画像を出力します。従来のフィルムがイメージングプレート(IP)に代わっただけで、撮影機器はこれまで使ってきたものが使えるので、アナログからデジタルへの移行はスムーズに行えます。
ただし、次のCCD方式のようにX線撮影の段階でデジタル化するのではなく、一旦IPにX線情報をアナログ画像として保存し、それをスキャナーで読み込んでデジタル化をするため、余分な時間がかかります。とは言っても、従来のX線フィルを現像するより短時間で済みます。
2)CCD(charged coupled device)方式
従来のX線撮影でフィルムを置く位置にCCDセンサーを組み込んだ受光部を置き、X線撮影で受光したX線情報をCCDセンサーでデジタル画像化し、これをオンライン接続しているコンピュータに取り込む方式です。
この方式では画像は撮影とほとんど同時にコンピュータ画面に表示される長所があります。しかし、1)CCDセンサーがシステム毎に必要で、1つのセンサーは1サイズのX線画像の撮影にしか使用できない、2)センサーが非常に高価なこと、3)受光部が大きく厚くなり、患者が不快感を持ち易いなどの欠点があります。
現時点では、IP方式とCCD方式はどちらも一長一短があり、使用目的により使い分けられています。IP方式は胸部の撮影や腹部の単純撮影に使われ、その他の一般撮影にはCCD方式が使われることが多いようです。診療所で最も多くX線撮影をするのが胸部なので、診療所ではIP方式がほとんどで、費用も比較的少なくて済みます。
富士フイルムは、1981年に世界最初のデジタルX線画像診断システムを開発し、FCR(Fuji Computed Radiography)と名付けました。続いて1983年に最初のデジタルX線装置を発売し、2001年には小規模診療施設用のFCR Pico システムを発売しました。今回導入したデジタルX線装置は、そのFCR Pico システムです。
<FCR Pico システムの構成要素>
1)IPカセッテ(IP CASSETTE typeC)
IP(ST−VI型)を収納したIPカセッテで、これを従来のフィルムカセッテの代わりに
撮影台に置き、X線撮影で受光したX線情報をこのIPに蓄積する。
2)画像読取装置(XG−1 Reader)
IPに蓄積されたX線情報をレーザー光を使ってスキャンして読み取り、アナログデ
ータをデジタル化した後、制御装置に出力する。
3)制御装置(XG−1 Console)
上の読み取り装置でデジタル化されたX線情報をモニターに画像表示すると同時
にプリンターに画像情報を送信するほか、DVDファイル画像表示装置にも画像情
報を送信する。
4)プリンタ(DRYPIX 1000)
制御装置から受信した画像情報をフィルムにプリントする。
5)ドライ画像記録用フィルム(DI−AT)
ドライプリンターで使うフィルムでB4サイズ、100枚入り、明るい部屋で装着可能
以上がFCR Pico システムに必須の最低要素ですが、次のDVDファイル画像表示装置を接続すると、その機能は格段に向上します。
6)DVDファイル画像表示装置(LF−C1)
本来は制御装置で作られたFCR画像を自動的にDVD−RAMに保存するための
装置であるが、それ以外に非常に多くの機能があり、FCR Pico システムを徹底的に
活用することができる。

写真1.FCR Pico システムの配置
左下:LF−C1、右奥上:制御装置、右奥下:画像読取装置、右手前:プリンタ
<ルーチン・ワーク>
A.起動
画像読取装置、制御装置、DVDファイル画像表示装置の電源をONにする
B.胸部撮影
1)ドライプリンターの電源ON
4分で起動完了する。フィルム1枚のプリントに要する時間は1分
2)IPカセッテの準備
IPカセッテを胸部撮影台内に緑マークが上になるように置く
3)患者さんの準備
上半身をシャツなど下着一枚になっていただく。ボタンのあるものや、磁気を帯びた
金属などは取り除く
4)制御装置「患者情報入力画面」(タッチパネル)にデータを入力する
・患者ID# :6桁数字を入力し「改行」(登録済みであればこれだけでOK)
・漢字患者氏名:姓をかな入力し「変換」ボタンを何回か押し、正しく変換 されたら「改行」ボタンを押し「スペース」ボタンを押す 続いて名をかな入力し「変換」ボタンを何回か押して、正しく 変換されたら「改行」ボタンを押す
・患者氏名 :漢字患者氏名の入力が終われば通常は「患者氏名」のカタカナが 自動的に表示されるが、もし、正しくなければこの項に触れて 正しいカタカナに変更しておく
・生年月日 :テンキー左側の年号(MTSH)に続けて年.月.日を入力し 「改行」ボタンを押す
・性別 :男はM、女はFを押す
・右下の「次へ」ボタンを押すと「撮影メニュー選択画面」に変わる
5)撮影メニュー選択画面でメニュー選択
・胸部 正面(P→A)ボタンを押すと右側にメニューとして表示される
・右下の「検査開始」ボタンを押すと「検査実行画面」になる
注:小文字は「小文字」ボタンを押して小文字を表示させてその中から選ぶ
大文字に戻る前に「大文字」ボタンを押して、大文字表示に帰る
間違いを取り消すには「BS」に相当する「クリア」ボタンを使う
入力データ全部を削除するには「Clear」ボタンを押す
6)胸部X線撮影
従来のX線撮影装置を使って撮影する

写真2.IPカセッテを従来のX線撮影装置に収納
7)IPカセッテ挿入
・画像読取装置の「カセッテ挿入ランプ」が点灯していることを確認する
・X線撮影の終わったIPカセッテを右側のガイドに合わせてゆっくり挿入する
・制御装置のモニターに読み込まれたX線画像が表示される

写真3.画像読取装置にIPカセッテを挿入
C.デジタルX線画像のモニター表示とフィルムプリント
1)DVDファイル画像表示装置(LF−C1)の「入力画像」アイコンを押して入力画像表
示画面とし、「等倍表示」アイコンを押し、「F12」キーを押して、全画面表示状態に
する
2)IPカセッテのスキャンで制御装置に送られたデジタルX線画像がモニターに表示さ
れる
3)制御装置のモニターにX線画像が表示し終わると、DVDファイル画像表示装置の
モニターにもX線画像が表示されるので、それを示して説明をする。この画像は
縮小率100%でアナログX線画像と同じサイズであり、モニター画面であるが、アナ
ログX線フィルム画像よりも美しく鮮明である。
4)制御装置のモニターの画像の表示が終わた4分後に、プリントされたフィルムが出
てくるので、それをシャウカステンに掲示して説明する。フィルムサイズはB4で
縮小率67%であるが従来のアナログX線フィルム画像よりも美しく鮮明である。

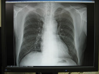
写真4.制御装置のモニターにX線画像が表示

写真5.LF−C1のモニターに等倍表示

写真6.プリンタでフィルムにX線画像を印刷
D.モニター画面で画像処理
DVDファイル画像表示装置のモニター画面で、画像全体の拡大、部分的拡大、
濃度・コントラストの変更、従来のフィルに近い表示、処理を強調した表示、プリ
セットしておいた処理条件での表示が瞬時にできる。

写真7.等倍表示、 写真8.拡大表示

写真9.従来のフィルムに近い表示 写真10.処理を強調した表示

写真11.濃度を下げた表示 写真12.濃度を上げた表示

写真13.ロー・コントラスト 写真14.ハイ・コントラスト

写真15.腫瘍検出用表示 写真16.反転表示
アナログX線画像と比べて非常に多くのメリットがあります。それを現在の当院にとってメリットの大きい順に列挙します。
1)画像が美しく鮮明である
デジタル化したことにより、今までは不可能だった軟部組織から骨までを一枚のレントゲンで見ることができます。自動感度調整機能により、常に均一で安定した濃度の高画質なX線画像が得られるので診断精度が向上します。
2)スピーディーに画像が得られる
レントゲンを撮影してから、モニターに表示されるまでの時間が短く、フィルムができるまでの時間もX線フィルムの現像を行う従来の方法に比べるとかなり短縮されています。画像読取装置とドライプリンタのフィルム処理能力は、いずれも大角1枚が1分という速さです。
3)使いやすい
従来のフィルムを使用した撮影と比較して、簡単で使いやすく、使い勝手が良いのは当院の職員も認めていて、導入初日に15分ばかりのレクチャーですぐに理解し、アシストしてくれました。当院のレセコンと同じタッチパネル方式であること、暗室が要らず明室で作業ができることが一番使い勝手を良くしていると思います。
また、レセコンの頭書きデータ約13000件をEXCELに保存して持っていましたが、これを活用して、FCRのコンソールの患者データベースにこれを登録した結果、登録済み患者のID番号を入力するだけで、漢字患者氏名、カナ患者氏名、生年月日、男女別の患者情報項目が自動的に入り、重宝この上なしです。
4)すべての操作が明室でできる
従来の暗室でのフィルム装填、自動現像機へのフィルム挿入がすべて明室で行えることは作業効率を高めるだけでなく、誤って感光させてしまう失敗もありません。
5)自動現像機の騒音がなくなり静か
これまで使ってきた中型自動現像機は容積が大きいだけでなく、騒音が強くて診療室内に置くとかなり耳障りでした。しかし、起動に約20分を要し、終了にも10分近く時間がかかるので、毎朝診療の前に自現の電源を入れ、診療終了時に電源を断ってきました。だから診療中は自現のかなり大きな低周波音が絶えず続いていたのです。
ドライプリンタの騒音は自現と比べてはるかに小さいのですが、起動に要する時間が4分で終了は瞬時に行うことができるため、通常は電源OFFにしてあります。だから、騒音は全くありません。X線撮影をする段階で電源をONにしても、フィルムプリントに間に合わせることができます。
6)モニター表示ができる
X線撮影後、約2分で診察室に置いたモニターに撮影したX線画像が表示されます。これを等倍表示にしておくと、モニターには通常のアナログX線フィルムと同じ大きさで表示されます。EIZO 21.3インチの液晶モニターに表示された画像は、アナログX線フィルよりも鮮明で、これだけ鮮明なら臨床的にはフィルムに勝るとも劣らないと思います。その画像が従来のフィルム現像よりもかなり早く表示されるのだから非常に有用です。(写真5参照)
7)画像処理が簡単に行える
デジタル画像は元は同じ画像でありながら色々とコンピュータを用いて処理することにより条件の違う写真を作ることができます。これを画像処理といいます。
X線撮影した直後にモニター表示されたX線画像を示しながら、説明することだけでも患者さんとって有用ですが、これに画像処理を加えて説明すれば、よりよく理解していただけるでしょう。
画像全体を拡大する、部分的に拡大する、濃度、コントラストを変える、従来のフィルに近い表示、処理を強調した表示、プリセットしておいた処理条件での表示、などの作業が一瞬に近い操作で可能なので、それはもう驚くばかりです。(写真7〜16参照)
そのほか、従来のアナログX線撮影では、撮影条件を間違えるともう一度撮影しなければならなかったのですが、デジタル画像であれば画像処理によって見にくい物でもなんとか見えるようにすることができるので再撮影が非常に少なくなります。
8)長さの測定が正確に簡単にできる
内科開業医がX線画像で計測を行うほとんどの場合が「心胸比」で、メジャーを使って計測した数値をフィルムに「ダーマト色鉛筆」で書き込み、さらに電卓で計算した数値を書き加えます。これは、面倒な上、少し不正確で、フィルムも汚してしまいます。ところが、デジタルX線画像では、マウスを胸と心臓の左右端に持っていくだけで正確に心胸比を計算し、表示してくれます。
9)デジタルデータとして保存できる
X線画像をデジタルデータとして保存できるメリットは非常に多く、その1部を9-1.から9-6.にまとめてみました。
9-1.DVD、ハードディスクに保存できる
ハードディスク(画像格納用領域75GB)に標準密度画像として約6600枚保存できます。また、DVD−RAM(両面で9.4GB)に標準画像で最大約4000枚を保存できます。
もう少し詳しく説明すると、IPカセッテを画像読み取り装置に挿入し、そこで読み取られた画像は、制御装置を経て自動的にDVDに保存されます。画像は医療の分野で標準規格として採用されているDICOM(Digital Image and COmmunication in Medicine)形式で4000枚保存できます。
9-2.保存済み画像を簡単に表示できる
従来のアナログX線画像では1回の撮影で1枚の写真しか得られません。デジタルX線画像では画像の元のデータをハードディスクやDVDに記録できるので何回でも画像を呼び出して表示することができます。
9-3.データベースとして蓄積できる
DVD−RAMに保存した画像の患者氏名と検査日付は全てデータベースに登録されます。このデータベースはLF−C1のハードディスク内に保存されています。これにより、保存したDVDの枚数が5枚10枚20枚と増えた場合も、このデーターベースから必要な画像を迅速に検索することができます。
今はFCRを導入したばかりで件数も少ないため、それほど活用することがありませんが、将来件数が増えれば増えるほど、このデータベースの有用性は高くなります。
過去の画像を検索して簡単に呼び出したり、それらを比較表示することは臨床的に非常に重要です。
9-4.リプリントができる
この保存された画像は撮影時と同じクオリティーでフィルム出力することもできます。保存しておけば写真を紛失してもまた同じ写真が取り出せるわけです。紛失だけでなく、紹介患者に貼付する場合とか、患者さんへのサービスでリプリントすることも可能です。

9-5.参照画像JPEGを出力できる
これまでX線写真をPCで表示できる画像ファイル(BMP/JPEG形式)に変換するには、直接スキャナーで読み込む方法が技術的に難しいので、昔は一旦写真に撮り、それをスキャナーで読み込む方法でした。今はシャウカステンに載せたX線写真を直接デジカメで撮影しています。
このFCRでは画像データをファイル変換で直接汎用フォーマットに出力できるので画質の劣化が少なく、作業も簡単で、ありがたいです。

9-6.画像を伝送できる
当院では未だ行っていませんが、LANを介して院内の他の端末から画像を呼び出すことは簡単で、病院では既に行われているところも多いようです。これによって病院内のいたる所へ伝送することができるので、いちいち重い写真の袋ごと運ぶ必要もなくなります。また、見たい時に自由に見ることができます。その上紛失する心配もありません。そのほか、ネットワークを介して電子的に送信することが可能です。
10)X線画像データのフィルムレス化と保管
これもデジタルデータとして保存できるメリットの一つですが、革命的に重要なので項を改めました。
テクノロジーの進歩により、文書の電子化、電子出版、カルテの電子化など世の中は年々ペーパーレスの割合を増やし続けています。X線画像はこれまでアナログデータを記録したフィルムを保管する方法でデータ管理を行ってきました。データ件数が多くなるとその保管場所に広大なスペースが必要となります。
当院はフィルム購入数から判断して胸部X線撮影だけで年間500〜600枚の大角フィルムを消費します。過去のデータが最も重要なX線写真は胸部なので、死亡例とか転居例を除いて、31年間のフィルムをすべて保管してきました。過去31年間の胸部X線写真は20000枚近くになり、その保管場所は40cm×40cm×800cmのスペースを占めていますが、もう限界です。
もし、ここでX線画像をフィルムレス化すれば、20000枚のフィルムをDVD−RAM5枚に収納できるわけで、その恩恵は計り知れません。保管場所の容積比を計算してみると1500分の1で済みます。
保管場所よりもフィルムレスが有用なのは、撮影したX線画像を整理して保存するための手間と時間、診療に必要なX線画像を探し出すための手間と時間が全く比べものにならないほど少なくて済むことです。
フィルムレス化でDVD−RAMにすべての撮影データを保存するとして、撮影したX線画像のデータは自動的にDVDーRAMに保存されるので、保存方法に頭を悩ます必要がなく、過去のX線画像がわずかの時間で検索表示できるのです。
当院は今のところフィルムレス化に踏み切れずにいますが、近い将来は必要最低限フィルム保存で、通常はフィルムレスで行きたく思っています。
しかし、そのためには、DVD−RAMのバックアップを持って置くことや、ハードディスクにあるデータベースのバックアップもとって置き、不測の事態に備えておかなければなりません。
11)X線照射線量が少ない
デジタルX線撮影では、従来のフィルムでX線撮影を行うより照射線量は70〜90%も減少するとされています。
12)現像定着液が不要
現像液や定着液などの排液が出ないことは地球環境にとって重要な問題です。
13)銀塩フィルムが不要
銀塩フィルムを使わないことで限りある資源としての銀の消費を抑えることができます。
デジタルX線装置FCRを導入して2週間余りが過ぎ、ある程度使いこなすことができるようになりました。そこで、この道具をより深く活用するために、取説、パンフ、ヘルプ、Web検索などを参考にしながら、実際にFCR Picoを使って、私なりにまとめたものです。デジタルX線、FCRに関心がおありの方のお役に立てれば幸甚です。
| ホーム > サイトマップ > 医療 > 医療関係論文 > デジタルX線画像診断 このページのトップへ |