  一次矯正のあらまし一次矯正とは本格的な不正咬合になることを防止する目的で、乳歯列の間に行う矯正治療です。おおむね7才から11才くらいまでの間は歯と顎の発育期にあたり、乳歯と永久歯の交代が頻繁に行われる時期なのです。この時期は成長発育を利用し、顎骨のコントロールが比較的容易に行われるので、矯正治療の適齢期といえるでしょう。この時期の治療を一次矯正治療(予防矯正治療)といい、その後の永久歯のかみ合わせ状態を左右する大変重要な時期なのです。一次矯正無料相談専用フリーダイヤル 0120-541-402 一次矯正の目的
- 不正咬合の予防
- 食べ物をかみ切る機能の確立
- 発音機能の確立
- 虫歯の発生の抑制
- 審美性(見た目の問題)の改善
一次矯正の6つのステップ 初診時から永久歯列が完成する12才前後まで定期的に生え代わりの経過を管理していきます。
- 初診相談・・・まずはお話をお聞かせ下さい
- 検査・・・・・歯や骨格の状態を検査します
- 診断・・・・・検査結果、治療計画についてご説明します
- 治療・・・・・8〜12週ごとの通院です (一回およそ30分)
- 定期観察・・・永久歯の生え代わりをチェックしていきます
- 二次検査・・・12才ころ二次矯正の検査を行います
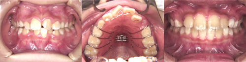
◇ 実際の治療 実際に当クリニックで治療を終了された患者さんの写真を、許可を得て掲載しております。 費用について- 【相談料】 無料
- 歯並びやかみ合わせについて困っていることや、
矯正治療に関する不安などお話をうかがいます。
- 【検査料】 ¥15,750
- 歯の型(上・下)、検査用写真、レントゲン(頭部、顎)、 機能検査を行います
- 【診断料】 ¥26,250
- 検査結果から治療方針を診断し、期間、装置等の治療計画を説明を致します。
- 【治療費】 ¥420,000〜¥525.000(内税)
- <治療費に含まれるもの>
- 基本施術料 装置衛生管理料 調整費 装置料 装着指導料
- *不正咬合の状態や治療の難易度によって治療費が決定します。
- *正確な治療費は診断時にお話します。
- *無利息分割払い可(12回まで)
- 【処置料】 無料 通院ごとに治療費はかかりません。
- 【保定料】 無料
- 【二次診断】 無料
- 【本格矯正(二次矯正)について】
- 12歳くらいになると12歳臼歯が萌出し、永久歯列が完成します。このタイミングで再資料を採取し、二次矯正(永久歯矯正)が必要かどうかを再診断します。二次矯正は総額でおよそ85万〜でお受けしておりますが、当医院で一次矯正を行った患者さんの場合、約半額で治療をお受けします。
一次矯正治療Q&A 歯並びって治るのですか? しっかりした治療を受ければ歯並びは治ります。最初にどうしたら良くなるかを知るために歯の型、顔の写真やレントゲン写真などの、詳しい検査をします。この検査結果をもとにして、どのようにして治すか、どのくらいの期間がかかるか、具体的に診断致します。 どうやって治すのですか? 一次矯正では取り外し式の装置を装着することが一般的な治療法です。ただし不正咬合の状態や個人差によって異なる場合もあります。 どのくらいの期間がかかるのですか? 平均で1年〜2年です。その後、仕上げのための本格矯正にはいります?状態によって本格矯正は必要なくなる場合もあります 毎日通うのですか? およそ8週〜12週に一度の割合で通院します 治ったらどうするのですか? 永久歯に生え代わるまで定期観察を行います。 装置を作るたびにお金がかかるのですか? 治療に必要な装置は何度作り替えても治療費に含まれます。但し、不注意で壊したり無くし たりした場合には実費がかかります。 友達を紹介したいのですが・・・ お友達と通えば通院も楽しくなります。素敵な笑顔にしてあげたいお友達をご紹介下さい。 ▼矯正歯科TOPへ ▼二次矯正へ ▼患者さんの声
|