骨折
骨折
骨折
顎骨骨折


顎の骨の骨折もときどきあります。
ボクサーなどでは良く聞くと思いますが、喧嘩でも、転んでも、結構、口腔外科専門病院に居ると良く見かけます。
上の絵は、骨折の良く起きる場所です。
下顎骨骨折の例をお見せしましょう。

顎の骨が折れました!
右下顎側切歯と犬歯の間がずれてしまっていますね!!
こうなると、噛むたびに割れた骨がずれて痛くてご飯も食べれません!!!

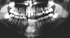
レントゲンで見ると、こんな具合です。
右下顎側切歯と犬歯の間、左の親不知のところに亀裂が見えますか?……
でも、大丈夫、ご安心下さい。

ギブスの替わりに、歯に針金をつけてこうやると、ちゃんと、元の噛み合わせになりましたね。
約一カ月でちゃんと骨はくっ付きます。
この方法は、手術無しで治しましたが、顎関節など、骨折の部位によっては、手術をする場合もあります。
2008年12月6日土曜日