上顎前突 (出っ歯)


上顎前突とは上下の歯の位置のずれによって引き起こされます。通常歯の傾斜を治すことで治療が行われますが、重度の上顎前突の場合外科的なアプローチを併用する事があります。
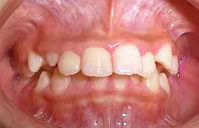
初診の状態

治療開始6ヶ月

治療開始1年後