|
|
近年、標本の抗原性を賦活させるためにマイクロウエープで加熱処理する方法が報告され、パラフィン包埋切片での免疫染色に大きく貢献している。われわれはこの方法が試薬の抗原性、酵素活性を逆に失活させるのではないかと考え、これを利用して多重免疫染色を試み、安定した染色結果が得られることを確認したので報告する。材料と方法
材料は慢性扁桃炎のため摘出された扁桃の20%ホルマリン固定・パラフィン切片および凍結切片、細胞浮遊液、末梢血のbuffycoat、体腔液塗抹標本を使用した。切片にはシランコーティングスライドを、塗抹には無処理のスライドグラスを使用した。熱湯処理は下記の要領で行った.0.01Mクエン酸緩衝液(pH6.0)を500ml用ビーカーに400−500ml入れガスバーナーで加熱。沸騰させないように90〜99℃に保持し、これに水洗した標本を染色用ゴンドラにいれて浸漬した。熱湯処理が終了した標本はすぐ水道水で手早く洗浄し、pH7.6の0.05Mトリス塩酸緩衝生理食塩水(TBS)に浸漬し次の染色過程に進んだ。
三重染色の手順
抗体、試薬の希釈・洗浄はTBSで行う。洗浄はそれぞれl分間、3回実施する。内因性POX阻害3%過酸化水素・エタノール液 15分。
標識酵素にPOXを使用しないときは省略プロツキング反応 10分
(パラフィン切片:5%スキムミルク液、凍結切片・スメア:5%正常ヤギ血清)一次抗体(No.1マウスモノクローナル抗体) 反応60分
二次抗体(抗マウス免疫グロプリン抗体 DAKO 1:100)30分
APAAP複合体(マウス抗体用 DAKO l:25) 30分
BCIP/NBT法発色 10分
(新鮮材料の場合は基質液にlmMのレバミゾールをいれる)熱湯処理 10分
一次抗体(No.2マウスモノクローナル抗体) 反応60分
ビオチン化二次抗体
(ビオチン化抗マウス免疫グロプリン抗体 DAKO 1:100) 30分ALP標識ストレプトアビジン(DAKO 1:100)30分
NF法発色 10〜15分
(新鮮材料の場合は基質液に1mMのレバミゾールをいれる)熱湯処理 10分
一次抗体(No.3マウスモノクローナル抗体) 反応60分
エンビジョン/HRP(DAKO 原液) 30分
DAB発色 2−5分
核染色
(マイヤーヘマトキシリン、BCIP/NBT発色はへマトキシリンと類似した色調のため、核染色はきわめて淡くするか省略する)十分風乾ののちキシレンで透徹、非水溶性封入剤で封入する。
(組織切片において、発色がNF法とDAB法のみの場合はイソプロピルアルコールで脱水する)
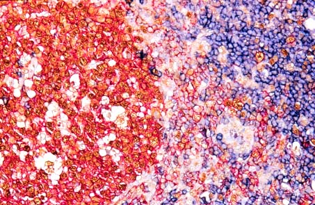
多重免疫染色の写真と説明
考察
われわれは多重免疫染色法を開発するにあたり、1)抗体、試薬は一般に市販されているものを用いること。2)同種の動物で作製された一次抗体の組み合わせで染色できること。3)一つの細胞が二つの抗原性を有する場合、これが判定できること。4)非水溶性封入剤で封入でき、永久標本として保存できることを基本的コンセプトとした。一次抗体を同種動物のものを使用した多重染色の場合、最初の一次抗体と次の一次抗体が交差することが障害となり、従来の方法では明確に染め分けることは困難であった。グリシン緩衝液(pH2.5)中に浸け余分な抗体を外す方法が一般的であるが、完全に外すことは難しい。
パラフィン包埋切片の免疫染色で,抗原性を賦活させるためにマイクロウエープを照射したりオートクレーブで加熱する方法がしばしば使用される。このことから、一次抗体に対する標本の抗原性は熱に耐えうるものが多いのではないかと考えた。それでは免疫染色に用いる抗体,酵素,試薬は熱に対してどうなのか?という疑問が本法開発の契機となった。交差反応の原因となり、同種動物抗体での多重染色を困難にしていた最大の問題である一次抗体自体の抗原性が、10分間の熱湯処理で完全失活できることがわかったことで、われわれにとっての長年の課題が解決した。さらに標識されているALPとPOXの酵素活性がわずか30秒の熱湯処理で完全失活することもわかった。したがって、同一標識酵素でも染色法をかえることで容易に染め分けが可能となり、熱湯処理は多重免疫染色に画期的効果があることが確認された。
病理と臨床 vol.14 1533〜1536, 1996 に掲載