矯正装置の種類
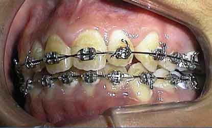
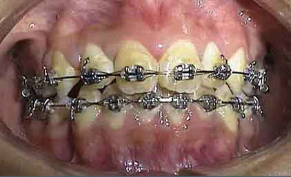
矯正装置のスタンダードです。

M.T.M.(部分矯正)

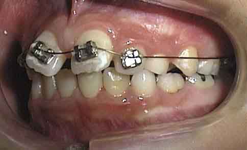
マルチブラケット(メタル)

マルチブラケット(メタル、カラーモジュール)

マルチブラケット(セラミック)

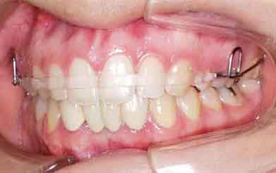
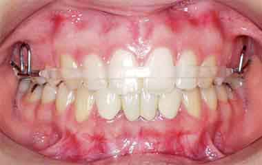
保定装置(後戻り防止装置)

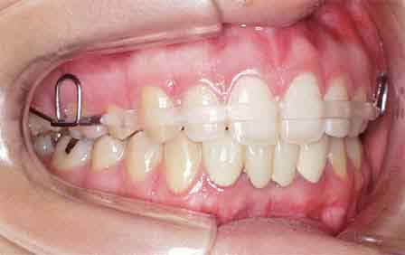
保定装置(QCMリテーナー)