磁性アタッチメント(GIGAUS)の症例1
![]() |
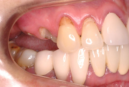
大臼歯(奥歯)が欠損し、ブリッジの設計ができません。 手前の小臼歯二本に磁石の装置を埋設して外に出る金具のない入れ歯を設計します。 |
![]() |
|
![]() |
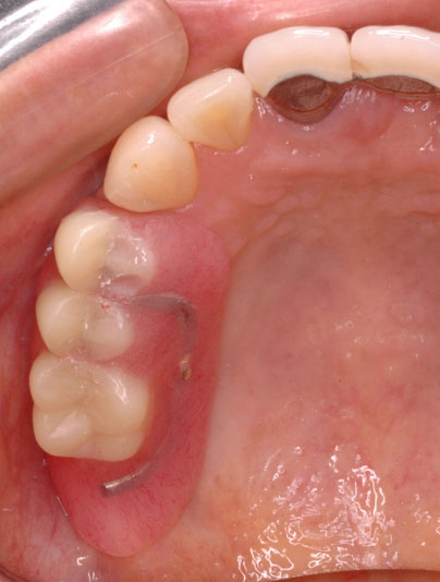
支える歯の根に磁石のメス(キーパー)を埋め込んだメタルを装着します。真ん中の丸い部分がキーパーです。 下はキーパーにマグネットを乗せた写真です。 |
![]() |
|
![]() |
|
![]() |
保険の義歯にマグネットを埋め込みました。 |
![]() |
|
![]() |
調整して完成となります。 |
![]() |