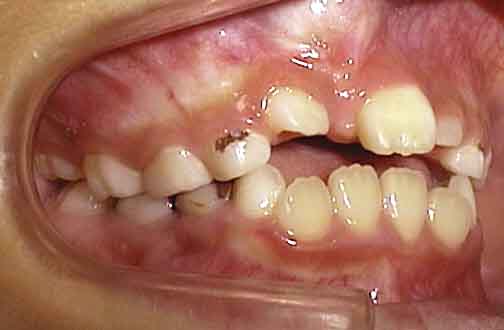
開口
開口とは指しゃぶりや舌癖(舌を前方に押しつける癖)によって幼児期から永久歯交換期にかけて引き起こされます。放置すると治療が困難になりますので早期に治療することが望ましいです。成人では外科的なアプローチが必要になる場合もあります。

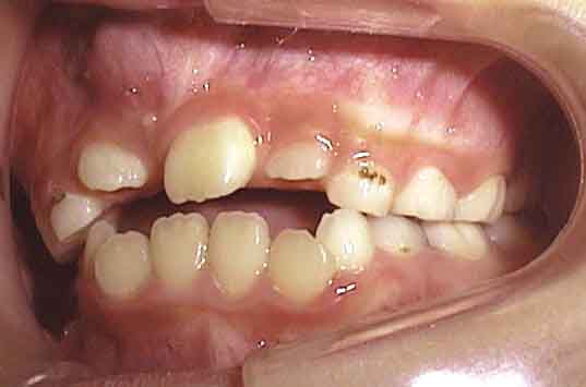
初診の状態

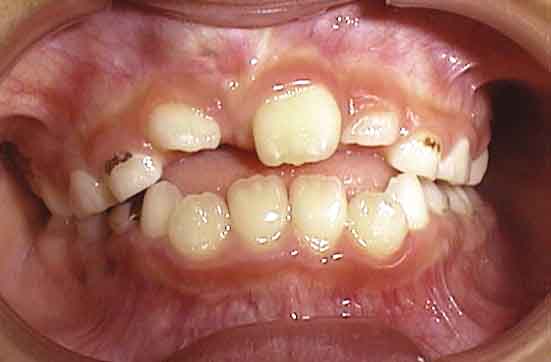
治療開始4ヶ月後

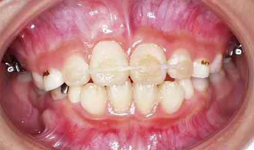
治療開始5ヶ月後

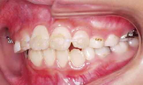
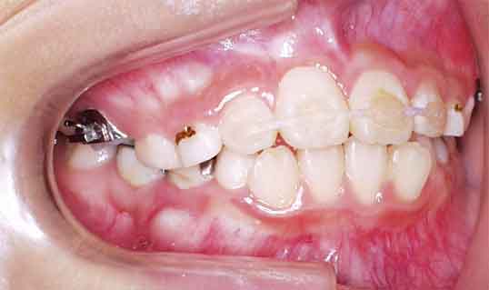
治療開始1年後