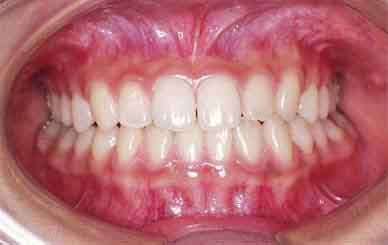
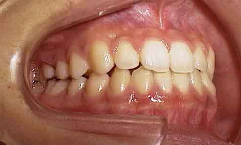
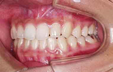
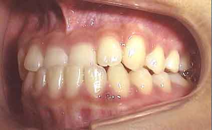
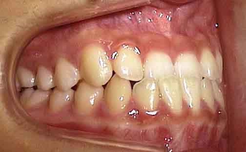
下顎前突(反対咬合)
下顎前突とは上下の歯の位置のずれによって引き起こされます。ずれが大きい場合外科的な処置を併用しなければ治らない場合があります。早期診断早期治療が重要です。
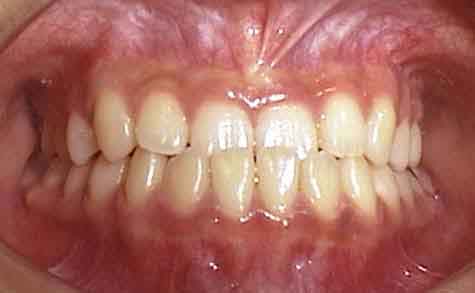
初診の状態

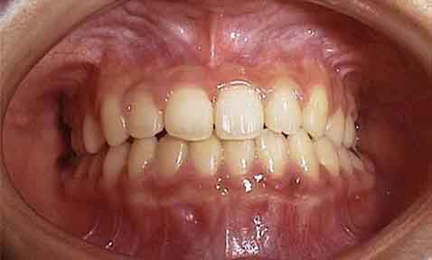
治療開始2ヶ月後

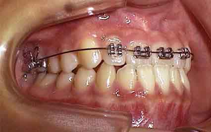
治療開始6ヶ月後

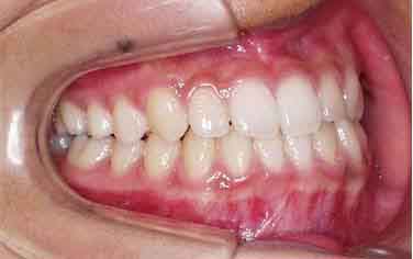
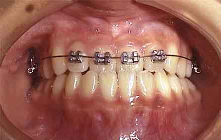
治療開始1年6ヶ月後