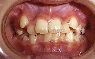
叢生(乱杭、八重歯)
叢生とは歯の幅経の総和と顎の骨の大きさのアンバランスから引き起こされる不正咬合です。
治療の為にこのアンバランスを改善する必要があります。
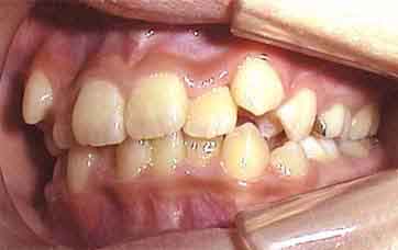
初診の状態

治療開始6ヶ月

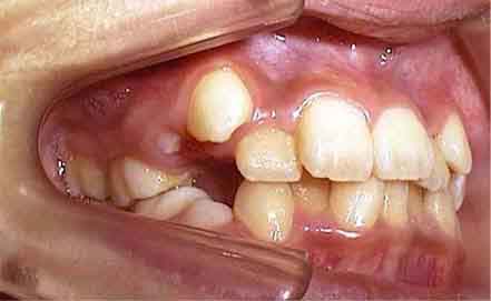
治療開始1年後

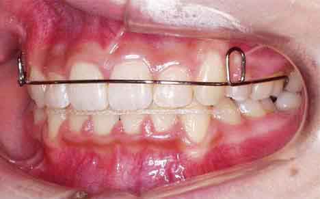
治療開始1年6ヶ月後(リテーナー装着時)